What is Cleft Lip and Palate?
When a child is born with a cleft lip and palate, they may present with a noticeable gap in the lip, gums, and palate, similar to the example shown in the picture. In India, it is estimated that around 35,000 children are born with this condition each year..

Variations in Cleft Presentation
Cleft Lip
The presentation can vary widely:
Small Notch in the Upper Lip
Some children may have only a minor indentation or notch in the upper lip.
Complete Cleft of the Lip and Alveolus
Others may have a full cleft that extends through the lip and into the gum line (alveolus).
Cleft Palate
The variations in the palate are also diverse:
Bifid Uvula
A split or forked uvula at the back of the throat.
Cleft of secondary palate
The cleft extends to involve only a part of the palate. This is a very common presentation in Pierre Robin Sequence where the child will also present with a small lower jaw.
Submucous cleft
In this condition, the cleft may not be obviously visible in the mouth, but the child will have a nasal twang to their speech (sound like as though the child is speaking through the nose). This can raise the suspicion of a cleft. In this type, the muscles of the soft palate will not be aligned in the proper way thereby disturbing speech
Incomplete cleft lip
Unilateral complete cleft of lip and palate
Bilateral complete cleft of lip and palate
Various Presentations of the Cleft Conditions
Cleft Lip
Cleft Lip & Palate
Cleft Palate
What can be done to make a child with Cleft Lip & Palate look like a normal child ?
Surgery is the only definitive solution to close a cleft, but it cannot be completed in a single operation. Typically, it requires 3 or more surgeries to fully correct the problem.
Early Intervention
Initial Consultation
It is recommended to see the child within a week after birth, especially if the child has a cleft of both the lip and palate. Early intervention is crucial for the following reasons
Nasoalveolar Molding (NAM)
For children with both a cleft lip and palate, NAM treatment can be started early. NAM involves the use of an acrylic plate to reshape the gums, lip, and nose before lip surgery. This process reduces tension during the lip closure surgery, leading to better surgical outcomes. Additionally, the acrylic plate helps with feeding by blocking the cleft in the palate, making it easier for the baby to feed. NAM is not required for babies who have a cleft of the palate alone or an incomplete cleft of the lip.
Feeding a baby with a cleft palate requires special techniques due to the challenges in creating suction and the potential for milk to leak through the nose. Immediately after birth, the baby should be placed at the mother's breast to encourage bonding and initiate feeding. However, many babies with a cleft palate may struggle to breastfeed directly because they cannot create the necessary suction.
Milk leakage through the nose during feeding can be alarming for new mothers, but it is a common occurrence with cleft palate. At this stage, it is essential for the mother to receive guidance from a lactation consultant. The consultant can teach proper feeding techniques that accommodate the baby's needs, such as using specialized bottles or positioning strategies, to ensure that the baby receives adequate nutrition.
The goal is to ensure that the baby gets exclusive breast milk for at least the first six months of life, as breast milk provides essential nutrients and immune protection that are critical for the baby's development, especially in the context of a cleft palate. With the right support and techniques, mothers can successfully feed their babies and provide them with the best possible start in life.
By addressing the cleft early, particularly with NAM, the overall surgical process and the child's development can be significantly improved.

Here's a table summarizing the various surgical procedures for cleft lip and palate treatment, along with the appropriate age for each procedure:
| Surgical Procedure | Description | Appropriate Age for Treatment |
|---|---|---|
| Cheiloplasty (Lip Surgery) | Surgical repair of the cleft lip. | 3-6 months |
| Palatoplasty (Palate Surgery) | Surgical repair of the cleft palate to restore function | 9-12 months |
| Nasoalveolar Molding (NAM) | Pre-surgical procedure to reshape gums, lip, and nose. | Within the first week after birth (before lip surgery |
| Alveolar Bone Grafting (ABG) | Bone grafting to repair the gum line and support teeth | 7-9 years (before the eruption of permanent teeth) |
| Maxillary Expansion | Expansion of the upper jaw to create space for teeth alignment | 7-12 years (depending on individual needs) |
| Orthodontic Treatment | Braces and other orthodontic interventions to align teeth | 12 years onward |
| Orthognathic Surgery (Jaw Correction) | Surgery to correct jaw alignment and improve facial structure | 15-17 years |
| Rhinoplasty (Nose Surgery) | Surgical procedure to improve the appearance and function of the nose | Typically after facial growth is complete, around 16-18 years |
| Speech Therapy | Therapy to improve speech clarity and communication skills | As needed, starting from early childhood through adolescence |
This table provides a general guideline, but the specific timing and necessity of each procedure can vary based on the individual needs of the child and the recommendations of the medical team.
Before and after surgery picture of a child with incomplete cleft of the lip
Before and after surgery picture of a child with a unilateral complete cleft of the lip
Before and after surgery picture of cleft palate repair
Cleft Lip & Palate Timeline
Primary Surgical Interventions
What are the other help that needs to be provided for these children?
Nutrition Support
Babies born with clefts face the risk of malnutrition, even when food supply is abundant. This is because clefts affect their ability to suck often making it very difficult to breast feed or even bottle feed
Without proper feeding and nutrition support, many cleft babies die from malnutrition. Early diagnosis and nutrition support can help babies born with cleft receive timely surgery and associated comprehensive care, enabling them to live full and productive lives
At the first intervention, our nutrition specialist provides counselling and feeding support for cleft children to enable them to have a safe surgery. As babies born with clefts, especially cleft palate have difficulty on breastfeeding our professionals train mothers and care givers in effective breastfeeding technique. Counselling is also provided on the correct positioning of the baby for feeding whether directly or with feeding devices. Mothers are discouraged from using the feeding bottle but rather educated on using feeding devices such as paladai, spoon, nifty cups etc. Counselling is also provided on weaning and complementary feeding thereby making the transition from mother’s milk to regular food easy.
Every child’s growth is monitored on a regular basis and advice given as per the child’s requirement respective of their age and development. In case of any delay in child’s growth and development, the child is reviewed by our pediatricians for better outcomes.
Mother’s health status is also equally important when feeding. A malnourished mother will not have adequate breast milk to feed her child and this is given importance too. The mother is also assessed and counselled accordingly to ensure overall success of the nutrition program.
The correct position and feeding with a filler is being demonstrated to the mother by Dr Parvathy
Assessing the mother for anemia
Speech Therapy
Communication skills, is one among the main challenges faced by a patient with cleft of the lip and/or palate. It is a common myth that these children will have developmental language delay. It is important to note that they will have a normal language development, provided the child is given adequate stimulation at home.
The role of a Speech Language Pathologist (SLP) begins as soon as the palate repair is completed by 10-12 months of age. The parents/care givers of the children are given a detailed counselling by SLP regarding language stimulation techniques enabling the child to begin verbal communication without any delay. This is then followed up by regular hospital visits and constant tracking of the child's development. By 3 years of age, as the child attains phrase to sentence level of communication, detailed Speech evaluation is conducted with different language specific test materials, to identify and map compensatory articulation or speech sound placement errors the child may have developed due to structural or functional changes. Regular Speech therapy sessions and assessments, which include both perceptual and instrumental (Naso endoscopy, Videofluoroscopy) evaluation help us to bring the child closer to a near normal communication ability.
As the child grows older, we also check for further structural abnormalities, like Velopharyngeal Dysfunction (short soft palate) which causes the child to have abnormal nasality and an emission of air from the nostrils during speech. This reduces the intelligibility of their speech. With the help of a series of assessments, therapy sessions and instrumental evaluation the Speech Language Pathologist, is able to identify if a surgical intervention is necessary.
The Speech Language Pathologist travels with each patient throughout their childhood onto their adulthood until their communication skills are competent to the outside world.

Speech therapy session in progress with Ms. Sruti, Speech Language Pathologist
Dental Treatment and Jaw Correction Surgery
Cleft palate can result in deficient growth of the upper jaw, leading to a number of dental and oral health challenges. Specifically:
Deficient Upper Jaw Growth
The underdevelopment of the upper jaw due to a cleft palate can result in insufficient space for the teeth to emerge properly.
Crowding and Misalignment of Teeth
This lack of space often leads to crowding, where the teeth overlap or are positioned crookedly. Misplaced teeth can also occur, further complicating dental alignment.
Chewing Difficulties
The misalignment of teeth and jaw can make it difficult for the child to chew food properly, affecting their overall nutrition and digestion.
Speech Issues
The structure of the mouth plays a significant role in speech production. When the teeth and jaw are not properly aligned, it can affect the clarity and quality of speech.
Aesthetic Concerns
The appearance of crowded or crooked teeth, along with an underdeveloped jaw, can impact the child’s overall facial aesthetics, potentially affecting their self-esteem.
Addressing these issues typically involves a combination of orthodontic treatments, such as braces, and possibly surgical interventions to correct the alignment of the teeth and jaw, thereby improving function and appearance.
Jaw Expansion
The first step is to use appliances to expand the jaw. This creates adequate space in the mouth, helping to correct issues like crooked, missing, or displaced teeth.
Bone Grafting Surgery
Once the jaw has been expanded, bone grafting surgery will be necessary to fill the gap in the gums. This step is crucial to provide the necessary support for the teeth.
Braces
Once the jaw has been expanded, bone grafting surgery will be necessary to fill the gap in the gums. This step is crucial to provide the necessary support for the teeth.
Orthognathic Surgery (if needed)
If the bony upper jaw is particularly small, orthognathic surgery may be required to further correct the bite and improve aesthetics. This surgery is typically performed when the child is between 15 and 17 years old.
Rhinoplasty (if needed)
To improve breathing and the prominence of the nose rhinoplasty is done. This surgery is typically performed when the child is between 15 and 17 years old and after orthognathic surgery.
This comprehensive approach aims to correct both functional and aesthetic issues related to jaw and dental alignment, ensuring the child has a healthy bite and an improved appearance

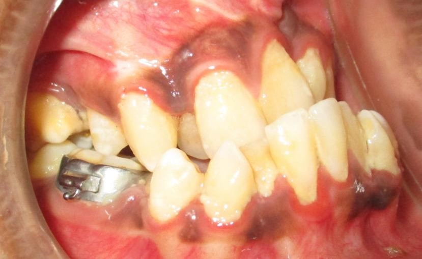
Protruding lower jaw with small upper jaw leading to facial imbalance

Crowding of the teeth and malocclusion of the same patient

Facial imbalance corrected with orthognathic surgery. This is the picture of the patient after orthognathic surgery

Teeth alignment and bite corrected with surgery and orthodontic treatment
At Ganga Hospital, in partnership with Smile Train, we do more than just provide treatment for cleft lip and palate. We are committed to creating awareness about the condition and implementing programs that help improve the self-esteem of these children.
Creating Awareness
We actively work to educate communities and families about cleft lip and palate, emphasizing the importance of early intervention and available treatments. By spreading awareness, we aim to reduce the stigma often associated with the condition and ensure that every child has access to the care they need.
Self-Esteem Programs
We understand that children with cleft lip and palate may face challenges that go beyond physical health, including issues with self-esteem and social acceptance. To support them, we offer programs specifically designed to boost their confidence and help them integrate more easily into their communities. These programs may include counselling, peer support groups, and activities that celebrate their strengths and achievements.
This comprehensive approach aims to correct both functional and aesthetic issues related to jaw and dental alignment, ensuring the child has a healthy bite and an improved appearance
Our mission is not just to heal, but to empower these children, giving them the tools they need to lead fulfilling and happy lives.Ganga Hospital, in partnership with Smile Train, a US-based charity organization, is dedicated to providing free treatment to children with cleft lip and palate. The comprehensive scope of treatment includes
Nutritional Counselling and Support
Ensuring children receive the proper nutrition needed for healthy development, especially before and after surger
Nasoalveolar Molding (NAM)
A pre-surgical orthopedic technique used to reshape the gums, lip, and nostrils to improve surgical outcomes.
Lip and Palate Surgery (Cheiloplasty and Palatoplasty)
Surgical procedures to repair the cleft lip and palate, restoring both function and appearance.
Maxillary Expansion and Orthodontic Treatment
Expansion of the upper jaw and alignment of the teeth to correct dental issues caused by the cleft.
Alveolar Bone Grafting (ABG)
A procedure to repair the gum line and provide the necessary bone support for teeth.
Jaw Correction (Orthognathic Surgery) and Nose Surgery (Rhinoplasty)
Surgical procedures to correct jaw alignment and improve nasal structure, enhancing both function and aesthetics.
Speech Therapy
Specialized therapy to help children develop clear and effective speech, addressing challenges caused by the cleft.
OUR MISSION: BRING SMILES TO FACES AND HAPPINESS TO FAMILIES
This mission encapsulates the commitment to not only restoring physical function and appearance but also bringing joy and confidence to the lives of children and their families.


